Röntgenfoto Knie Met Vocht

Röntgenfoto Knie Met Vocht. Artrose van de knie Slingeland Ziekenhuis Ook kan het vocht uit je knie verwijderd worden met behulp van aspiratie Een röntgenfoto kan uiteindelijk een artrose in de knie aantonen: artrose geeft röntgenologisch een versmalling van de gewrichtsspleet.

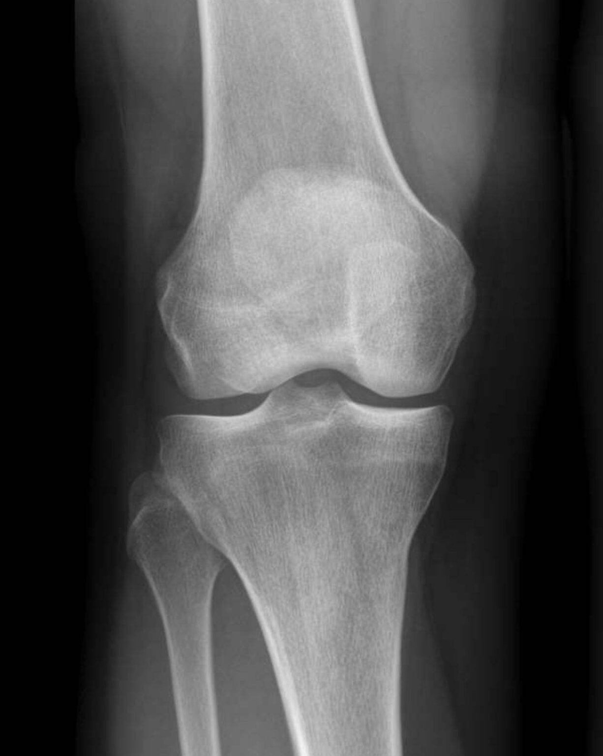
Film röntgenfoto ap (anterior posterior) en zijaanzicht van knie vertonen nauwe
Film röntgenfoto ap (anterior posterior) en zijaanzicht van knie vertonen nauwe from nl.freepik.com

Ook kan vastgesteld worden of er sprake is van artrose (slijtage) van de knie Een röntgenfoto is een foto van de binnenkant van uw lichaam

Film röntgenfoto ap (anterior posterior) en zijaanzicht van knie vertonen nauwe

Depomedrol) is aangewezen bij een acute achteruitgang met vocht in de knie (posttraumatisch, overbelaste of ontstoken knie) Met een kniescan kunnen banden, pezen, kraakbeen, meniscus, bot en vochtophopingen in beeld worden gebracht. Ook kan vastgesteld worden of er sprake is van artrose (slijtage) van de knie

Vocht in de knie Alles wat je moet weten & 3 Praktische oefeningen. Een röntgenfoto kan uiteindelijk een artrose in de knie aantonen: artrose geeft röntgenologisch een versmalling van de gewrichtsspleet. Na het onderzoek kleedt u zich weer aan en krijgt u te horen of de röntgenfoto gelukt is.

Bij Bergman Clinics Breda kunt u terecht voor een behandeling van artrose. Als de knie niet zo pijnlijk of dik meer is, probeer dan normaal te blijven bewegen Kan MRI met vocht in knie? Of heb je knieklachten als gevolg van een (sport)ongeval of trauma? Een MRI scan van de knie is een non-invasieve manier om inzicht te krijgen in te krijgen over de oorzaak van je klachten